IVRセンター 治療方針
IVRは針やカテーテルなどを使う低侵襲局所療法で、一般論ではありますが、侵襲度は薬物を使う内科治療に近く、局所治療効果は外科切除に匹敵する場合もあります。非常に理想的な治療と言えますが、最大の弱点は、適応判断がわかりにくいという点です。そのため、当院のIVR外来の適応となる病態、疾患を示しますので、ご参考にしてください。

IVRは、血管を刺す血管系IVR、血管以外を刺す非血管系IVRに分類されますが、目的別に抗腫瘍、抗出血、抗症状(緩和IVR)などに分類した方が分かりやすいため、今回は上記にて分類します。
抗腫瘍IVR (Interventional Oncology)
抗腫瘍IVR (Interventional Oncology)
肝細胞癌はIVRに最も馴染みの深い癌で、標準治療の一つであるTACEはIVRの代名詞の一つとなっています。近年、肝細胞癌治療は複雑化しており、当IVR外来では、消化器内科とも連携し、TACEのみならず、RFA、動注療法、薬物療法などを取り扱います。是非、ご紹介ください。また、肝転移に対しても、同様の治療を行うことが可能です。
原発性肺癌、肺転移に関しては、近年RFA治療が承認されたため、呼吸器外科と連携し、肺RFAが可能です。転移の場所が深く、切除すると広範囲の肺切除を必要とするような症例が良い適応です。また、切除+RFAという選択枝もベストマッチです。是非、ご紹介ください。
また、緩和IVRにも属しますが、上大静脈や下大静脈閉塞に対するステント留置も行います。

HCC TAE



肺RFA


HCC 薬物療法

抗出血 (Vascular intervention)
抗出血 (Vascular intervention)
出血や出血予防のために血管を塞栓(TAE)出来ます。
喀血に対するTAEは最も信頼出来る治療法です。喀血でお困りの症例は是非紹介ください。
術後出血や消化管出血、穿刺後出血など、出血に対するTAEは非常に有効な手段です。内臓動脈瘤や肺AVMに対するTAEも同様に有効な手段です。ご紹介ください。
抗症状(緩和IVR)
抗症状(緩和IVR)
近年、癌性疼痛などの症状緩和に関してIVR手技が有効であることが報告されています。薬物療法とは機序が異なるため、併用して癌性疼痛を抑え込むことが推奨されています。局所の痛みで、NRS5以上の痛みに対しては、非常に有効な治療と考えています。適応判断が難しいと思いますので、こちらで詳しいお話しをさせて頂きますので遠慮無くご紹介ください。
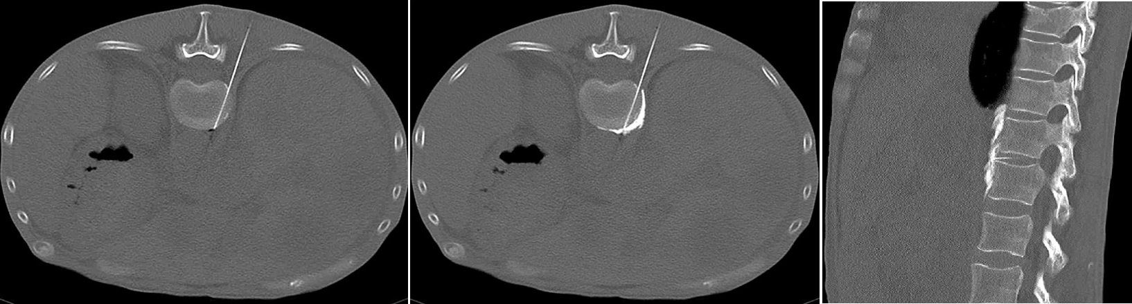
代表的な癌性疼痛として、骨転移に関しては、椎体形成術(骨セメント)やTAEが有効です。また、骨以外でも、腹壁転移による痛みや腫瘍浸潤による痛みで、安全なfeederが確保出来る場合はTAEの適応です。また、内臓神経/腹腔神経叢ブロックも可能です。
上大静脈/下大静脈閉塞による浮腫の改善には、即効性のあるステント留置がお勧めです。
癌性腹膜炎などで、経鼻チューブの長期留置を余儀なくされている症例は、PTEGによるチューブ経路の変更が可能です。
術後膿瘍、腹腔内膿瘍、後腹膜膿瘍、肝膿瘍、膿胸などのドレナージ、有症状巨大肝嚢胞などのドレナージ+廃絶術も症状緩和に有効な治療です。
カテーテルトラブルによる血管内異物除去も可能です。
その他、様々な部位の経皮生検も可能です。入院手配も可能です。

椎体形成術(PVP, 骨セメント)



骨 TAE


内臓神経ブロック

